According to many test persons and our own experiences, the Mind Switch® App and the Fear & Phobia Mind Switch® App work for all kinds of fears and in many conceivable stress situations. We wanted to verify this feedback that the app works quickly and sustainably with a scientific approach.
We chose the topic of spider phobia as an example for the study, because on the one hand the fear can be triggered well by images in the fMRI scanner and on the other hand there are many comparative data from other fMRI studies.
fMRT Studie ist der Goldstandard zur Darstellung der Gehirnaktivität
Eine fMRT Studie ist der wissenschaftliche Goldstandard zur Darstellung der Gehirnaktivität. Man ist dadurch nicht nur auf das bewusste und subjektive Feedback von Testpersonen angewiesen, sondern mit dem fMRT-Hirnscanner ist es möglich, durch Messung des Blutflusses unbewusste Hirnaktivitäten sichtbar zu machen.
Prozesse wie Aufmerksamkeit, visuelle Verarbeitung, Motivation oder auch kognitive Überlastung lassen sich somit darstellen, ohne, dass man auf subjektive Antworten von Testpersonen angewiesen ist. Als „Fenster zur Wahrheit“ wird fMRT auch zur wissenschaftlichen Untersuchung zahlreicher Krankheiten des Gehirns eingesetzt. Dazu gehören das Parkinson-Syndrom, Chorea Huntington, Dystonien (anhaltende Muskelkrämpfe), Amnesien (Gedächtnisstörungen), nach einem Schlaganfall, Demenzerkrankungen oder Depression. Die fMRT ist somit ein sehr verlässliches und aussagekräftiges Verfahren für unzählige medizinische und psychologische Anwendungsfelder.
Significant reduction after one application by 79%
Already after a single Mind Switch® Fear & Phobia App application of 100 minutes, there was a significant reduction in four brain areas, including the amygdala (main fear center in the brain), by an average of 79%.
Increased and lasting reduction after 4 weeks
This effect increased in the second phase of the test and extended to 6 brain areas.
Conclusion Ass. Prof. Dr Kronbichler
"After repeated use (Total 5 hours per personon average, spread over 4 weeks) of the Mind Switch® Fear & Phobia App, a strong reduction in the response to images of spiders was demonstrated in brain areas usually strongly associated with phobias: In the right amygdala, average activity was reduced by 117%, and in the left amygdala by an average of 145%. In the visual areas of the brain, there was a reduction from 8 units to an average of -1.6 units, in somatosensory-motor regions from 15.1 to - 2.8 units, in the parietal lobe from 8.6 to -5.3 units, and in the cerebellum from an average of 12.2 to 2.7 units. In summary, these results clearly indicate that in people suffering from phobias, a significant reduction in brain activity is observed with repeated use of the app. And this is in brain areas associated with anxiety."
Study results presented graphically
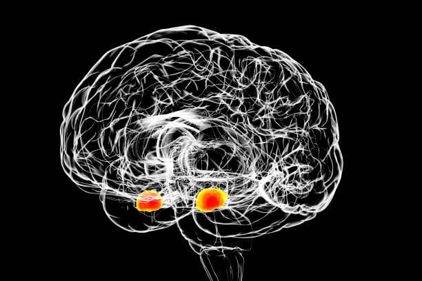
Amygdala
Whole brain analysis
Whole brain analysis
Schlussfolgerung
Mit einem Hirnscann (fMRT Studie, Gold-Standard in der Hirnforschung ist) konnte nachgewiesen werden, dass man mit der Mind Switch® Technologie erwiesenermassen sein neuronales Netzwerk beeinflussen kann und dadurch Ängste und Stress effizient und nachhaltig reduzieren kann.
Setting
Device data
Siemens Magnetom Prisma 3 Tesla MRT with 64 resp. 20 channel head coil
Brain scan 1
Subjects were exposed to 25 images of spiders, as well as 25 control images of animals (repeated and randomized) in the MRI scanner.
The first scan was followed by the application of the Mind Switch® Fear & Phobia App, on average for 100 minutes/subject. No conversation, distraction, or other activities occurred during this application.
Brain scan 2
Subjects were repeatedly exposed to the image set of 25 spider and 25 control images while their neural processing in the brain was measured.
Brain scan 3
After regular use of the Mind Switch® Fear & Phobia app (averaging a total of 5 hours per subject over 4 weeks), an MRI scan was again performed, during which subjects were repeatedly exposed to the image set of 25 spiders and 25 control images.
We decided to conduct an fMRI study with our Austrian partners from Limbio OG.
An fMRI study is the ultimate scientific discipline for visualizing brain activity. It does not only rely on the conscious and subjective feedback of test subjects, but with the fMRI brain scanner it is possible to visualize unconscious brain activity by measuring blood flow.
Processes such as attention, visual processing, motivation, or even cognitive overload can thus be depicted without relying on subjective responses from test subjects. As a "window to the truth," fMRI is also used for the scientific study of numerous diseases of the brain. These include Parkinson's syndrome, Huntington's disease, dystonia (persistent muscle spasms), amnesia (memory impairment), post-stroke, dementia, or depression. Thus, fMRI is a very reliable and informative method for countless medical and psychological fields of application.
